Skip to content
ECOGRAFÍA

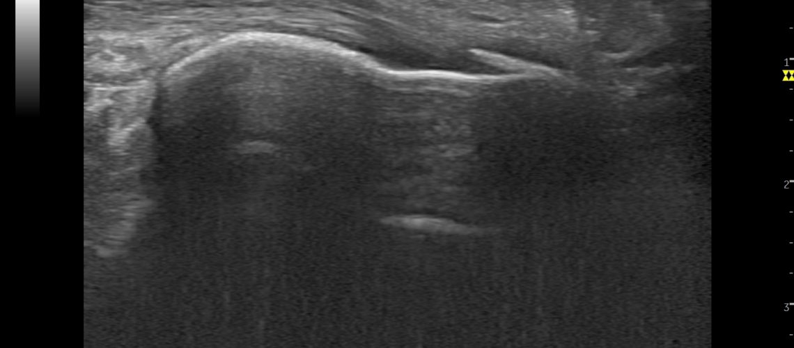
ECOGRAFÍA

ECÓGRAFO
¡Nos encanta nuestro ecógrafo de última generación! 🖥️

A través de su pantalla podemos ver los tejidos blandos del cuerpo: músculos, tendones, ligamentos y superficies óseas.

Y es que la imagen que transmite, nos permite entender e interpretar las dolencias del paciente y realizar un seguimiento de las lesiones de una manera más eficaz, rápida y personalizada.

Con él conseguimos:
· Comodidad, una valoración in situ en la misma consulta.
· Evidencia clínica de los síntomas de la patología.
· Alto porcentaje de éxito en los tratamientos.

¡Ven a probarlo! Coge cita a través del enlace en nuestra bio 😊

#clinica #clinicafisioterapia #clinicadefisioterapia #osteopatia #fisioterapia #salud #ecografo #ecografia #ecografiaenlafisioterapia #valencia #fisioterapeuta #osteopata #liria #benisano #benaguacil #eliana #pobladevallbona

Otras publicaciones de interés

ME PRESENTO!!

¡HOLA! Soy Matteo Cantini 🙋🏻‍♂️ Muchos ya me conocéis, aun así me gustaría presentarme y contaros mi recorrido hasta llegar hasta aquí y así podáis conocerme un poquito mejor 😊
Leer todo

RADIOFRECUENCIA DIATERMIA

Es una tecnología no dolorosa que utiliza la radiofrecuencia como fuente de energía para el tratamiento de lesiones en nuestro aparato locomotor. Trabaja con una frecuencia constante en el rango
Leer todo

PROPIOCEPCIÓN

Si realizas deporte o has ido alguna vez a un fisioterapeuta habrás escuchado la palabra propiocepción pero, ¿qué es exactamente? Es un sentido introceptivo de nuestro organismo, donde los receptores
Leer todo

COLON IRRITABLE

¿Podemos tratar el colon con Osteopatía? 😯 El colon irritable es una patología de origen funcional que afecta a la actividad del colon, por ello se caracteriza por la presencia
Leer todo

ENFERMEDAD PULMONAR OBSTRUCTIVA CRONICA

Aunque en la actualidad la Covid-19 es la enfermedad respiratoria que está más de moda, la EPOC (Enfermedad Pulmonar Obstructiva Crónica) sigue siendo una de las enfermedades respiratorias con más
Leer todo

DOLOR LUMBAR Y ABDOMINAL DURANTE EL EMBARAZO

DOLOR LUMBAR Y ABDOMINAL DURANTE EL EMBARAZO ¿Te suena ver a las mujeres que esperan un bebé con una posición de espalda arqueada y las manos en las lumbares? Entre
Leer todo

TENDINITIS DEL SUPRAESPINOSO

La tendinitis del supraespinoso es caracterizado por un dolor agudo en la cara anterior y lateral del hombro, que suele empeorar a medida que utilizamos el mismo en movimiento por
Leer todo

ESTIRAMIENTOS

Estira cada día, ¡aprovecha tus vacaciones! 😜👌 A menudo, notamos dolor en músculos y articulaciones, muchas veces son a causa de rigidez y sobrecarga muscular 🤷🏽‍♂️ Por ello, os recomendamos
Leer todo

CICATRIZ POR CESÁREA Y FISIOTERAPIA

¡Recupera el bienestar después de una cesárea con la ayuda de la fisioterapia! 💜 Ya que desempeña un papel crucial en la recuperación, aliviando molestias y promoviendo una cicatrización saludable.
Leer todo

QUISTE DE BAKER

Se trata de un quiste relleno de líquido que se forma en el hueco de detrás de la rodilla. Habitualmente, el quiste de Baker aparece debido a un exceso de
Leer todo

PATOLOGIAS DEL TELETRABAJO

¿Te suena el teletrabajo? ¡Seguro que sí! Desde el 2020 se ha implantado en la sociedad debido a la Covid 19, aunque todos sabemos que se practica desde mucho tiempo
Leer todo

NUEVO LOCAL – ONFIT

TENEMOS NUEVO ESPACIO DE TRABAJO! 🙌🏾🎉 Sí, lees bien ¡nos cambiamos a un nuevo local especializado en el cuidado de nuestro cuerpo! 😄 A partir de ahora nos encontraréis en
Leer todo